肺结核是我国发病和死亡人数最多的传染病之一,具有高患病率、高涂阳率、高耐药率等特点。作为结核病高负担国家,我国在结核病防治工作取得显著成效,但防控形势依然严峻,需要社会多个部门协同配合,临床多种手段结合应用。除了抗结核治疗,还需要进行健康教育、随访管理、生活方式指导及中医治疗等,因此科普相关知识尤为重要。继发性肺结核是指已经感染过结核杆菌,在感染已经静止或者痊愈一段时间后,再次出现的肺结核。导致继发性肺结核的原因有两个,一是初次感染后体内潜伏的结核杆菌重新开始活动,二是再次受到外界的结核杆菌感染。

肺结核是由结核分枝杆菌感染人体肺部引起的一种慢性传染病,主要包括原发性肺结核、血行播散性肺结核、继发性肺结核、气管(支气管)结核、结核性胸膜炎五种类型。
肺结核是呼吸道传染病,大量排菌的肺结核患者通过咳嗽、咳痰、打喷嚏、大声说话等方式将结核分枝杆菌扩散至空中,健康人吸入带有结核分枝杆菌的飞沫即可能受到感染。若有与肺结核患者共同生活、工作、学习等密切接触史,建议到定点医院及时筛查。而艾滋病病毒感染者、免疫力低下者、糖尿病病人、尘肺病人、老年人等都是易感人群,应每年定期进行结核病检查。咳嗽、咳痰超过2周,出现咯血或痰里带血丝是肺结核的主要症状。此外,胸闷、胸痛、午后低热、夜间盗汗、全身无力、食欲减退或体重减轻等也是肺结核的常见症状。部分患者可无任何症状,只是在体检时才偶然被发现。
肺结核的诊断是以病原学(包括细菌学、分子生物学)检查为主,结合流行病史、临床表现、胸部影像、相关辅助检查及鉴别诊断等,进行综合分析做出诊断。并以病原学、病理学结果作为确诊依据。
中医学认为,肺结核属于“肺痨”范畴,其病因可分为内外二因。其中,外因为“感染痨虫”(结核分枝杆菌)、是发病的原因,内因为“正气虚弱”、是发病的基础,相应治则系补虚培元、抗痨杀虫。现代研究表明,在规范的抗结核治疗基础上,联合应用中医治疗,可显著缓解患者不适症状,提高生活质量,加快病情好转,缩短治疗时间,减轻患者的经济负担及心理压力。对于本病的治疗,中医学有内治和外治两种方法,前者讲究辨证论治,临证可参照肺阴亏虚、阴虚火旺、气阴耗伤、阴阳两虚等中医证型,分别选用月华丸、百合固金汤、保真汤、补天大造丸等中医处方内服;后者包括艾灸、穴位贴敷、耳穴压豆、中药熏蒸等中医适宜技术。
现代研究表明,在规范的抗结核治疗基础上,联合应用中医治疗,可显著缓解患者不适症状,提高生活质量,加快病情好转,缩短治疗时间,减轻患者的经济负担及心理压力。


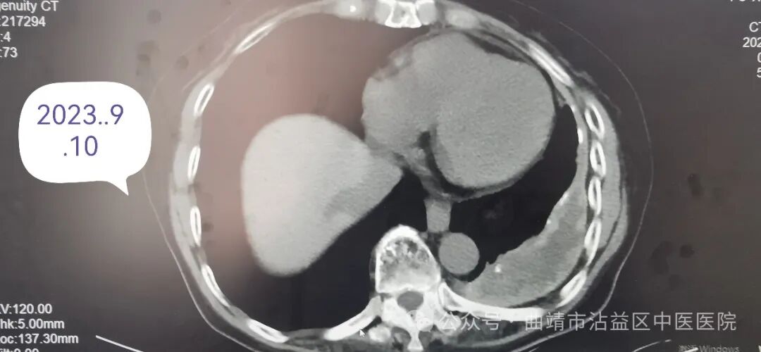
患者女,71岁,因“反复咳痰喘、痰中带血5年余,加重2天”至我院就诊,患者曾多次在曲靖市级,沾益区县级住院治疗,行胸部CT提示“左肺包裹性积液”,经治疗症状可得到部分缓解,但发热、盗汗、乏力、咯血等症状反复,诊断不明。收入我院肺病科后,行气管镜检查,肺泡灌洗后送检发现复合结核杆菌阳性,确诊为继发性肺结核。经我院肺病科医师团队行抗结核治疗后无痰中带血,相关症状好转,出院后继续规律抗结核治疗,后经随访病情已经好转。电子支气管镜、肺功能监测仪、多导睡眠监测仪、高流量治疗仪、无创呼吸机、有创呼吸机、除颤仪、床旁心电监护仪等呼吸系统先进诊疗设备。运用中西医结合方法治疗急慢性阻塞性肺疾病、慢性肺源性心脏病、肺动脉栓塞、肺恶性肿瘤、肺间质纤维化、大叶性肺炎、社区获得性肺炎、重症肺炎、感染中毒性休克、呼吸性细支气管炎、闭塞性细支气管炎、支气管哮喘、咳嗽变异性哮喘、肺结核、肾功能不全、急性肾盂肾炎、慢性肾炎、即将开展肾血液透析及血小板减少、贫血、过敏性紫癜等疾病。开展穴位贴敷、中药塌渍、中频治疗、红外线治疗、拔罐、针灸等特色中医治疗项目,以西医诊断、中医辩证、运用中西医结合的方法诊疗呼吸系统、泌尿系统、血液系统疾病具有较强的诊治能力和独特的疗效。